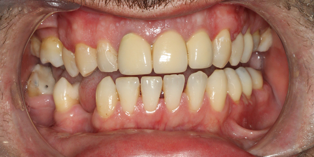
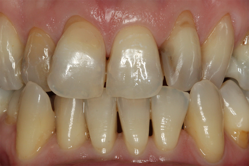
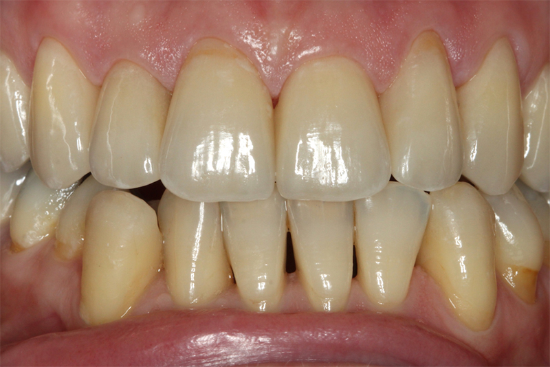
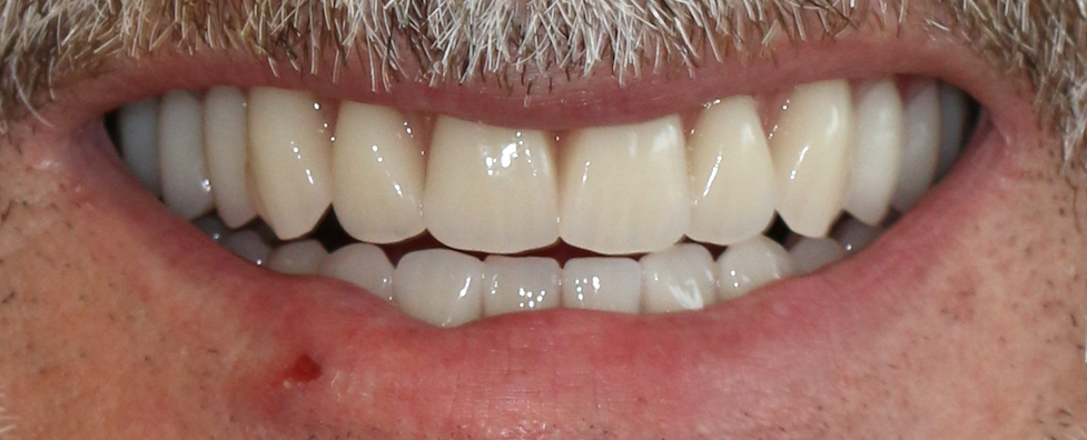
Beste Materialien und Verfahren für ein perfektes harmonisches Ergebnis
In unserem etablierten ästhetisch-rekonstruktiven Dentallabor fertigen unser Zahntechniker Klaus Wink und unsere Zahntechnikerinnen Zahnersatz von höchster Qualität direkt bei uns im Hause. Ausgezeichnet mit dem „Oscar“ der Zahntechnik, dem „Goldenen Parallelometer“ zählt Herr Wink zu den Spezialisten im Bereich der ästhetischen Zahntechnik. Klaus Wink ist spezialisiert im Bereich der ästhetisch-rekonstruktiven Zahntechnik. Somit lassen sich Ergebnisse erzielen, die nicht nur die natürliche Funktion der Zähne, sondern auch deren Schönheit wiedergeben.

















